
5 Tanda Terkena Skoliosis: Bisa Periksa Sendiri, Cegah Sebelum Parah!
Saat kamu bercermin, pernahkah kamu melihat tubuhmu bengkok atau tidak sejajar, atau mungkin sering merasa sakit pada bagian punggung atau pinggang? Bisa jadi, itu tanda terkena skoliosis.
Skoliosis adalah kondisi di mana tulang belakang melengkung secara tidak normal. Meskipun tidak jarang terjadi, kondisi ini sebaiknya tidak dianggap enteng.
Sebagian besar kasus skoliosis bersifat ringan, namun kelengkungan tersebut dapat memburuk seiring dengan pertumbuhan individu.
Ketika kelengkungan semakin berat, dapat menyebabkan penyempitan ruang di dalam dada, yang berpotensi mengganggu fungsi paru-paru.
Lantas, bagaimana tanda-tanda skoliosis?
Baca juga: Body Type Diet: Solusi Menurunkan Berat Badan dengan Hasil Maksimal?
Tanda Terkena Skoliosis
Ciri terkena skoliosis sebenarnya dapat kamu ketahui sendiri karena tandanya sangat terlihat jelas, terutama ketika kamu sedang tidak menggunakan pakaian.
Jika tanda terkena skoliosis berikut ini ada padamu, sebaiknya segeralah mengunjungi dokter untuk pemeriksaan lebih lanjut.
Bahu Tinggi Sebelah
Tanda awal skoliosis adalah bahu yang tinggi sebelah. Ketika seseorang menderita skoliosis, tulang belakang mereka melengkung ke satu sisi.
Hal ini menyebabkan bahu pada sisi yang melengkung menjadi lebih tinggi daripada yang lain. Hal ini dapat membuat postur tubuh terlihat tidak seimbang.
Saat kamu berusaha untuk mensejajarkan kedua bahu kamu akan mengalami kesulitan. Bagaimana pun tulang yang menonjol ke satu sisi tidak dapat membuat keduanya sejajar karena ada tulang yang lebih menonjol di satu sisi.
Tulang Belikat Menonjol Satu Sisi
Selain bahu yang tinggi sebelah, tulang belikat yang menonjol juga merupakan tanda umum dari skoliosis.
Ketika tulang belakang melengkung, tulang belikat pada sisi yang melengkung akan menonjol keluar, membuatnya terlihat tidak simetris dengan tulang belikat yang lain.
Tanda terkena skoliosis ini dapat kamu rasakan sendiri dengan berkaca, kemudian menghadap samping. Apabila salah satunya ada yang lebih menonjol kemungkinan kamu menderita skoliosis.
Selain itu, bisa juga dengan membungkuk kemudian minta orang lain memeriksanya. Jika saat membungkuk terlihat tinggi sebelah, kemungkinan kamu menderita skoliosis.
Pinggul Tidak Sejajar
Jika kamu sudah melihat tanda terkena skoliosis pada bagian atas, sekarang mari sedikit ke bagian bahwa, yakni di bagian pinggul.
Tulang belakang yang bengkok dapat mempengaruhi keseimbangan pinggul satu sama lain.
Cara melihatnya, berdirilah dengan kedua kaki rapat dan lihat di cermin, apakah pinggul terlihat tidak sejajar. Ini dapat terlihat dengan salah satu pinggul lebih tinggi atau lebih rendah dari yang lain.
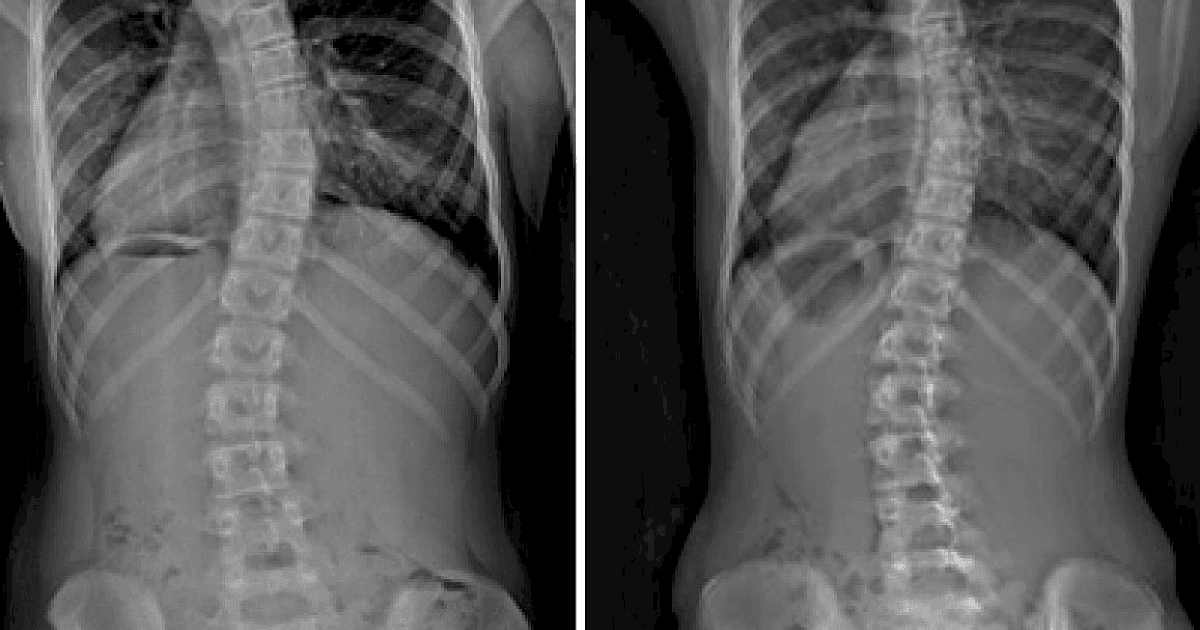
Lengkungan Tulang Belakang Kurva C dan S
Bentuk tulang skoliosis terdiri dari dua tipe yaitu kurva C dan S. Menurut Skoliosis My, skoliosis berbentuk huruf S atau ganda lebih kompleks, sedangkan berbentuk huruf C adalah bentuk skoliosis yang sederhana.
Baik bentuk skoliosis berbentuk S maupun berbentuk C, keduanya perlu mendapat perhatian, terutama selama masa pertumbuhan.
Selain itu, bentuk C yang berkembang dengan cepat dapat berubah menjadi skoliosis berbentuk S atau skoliosis ganda.
Lengkung skoliosis remaja dan dewasa yang berbentuk S memerlukan perhatian segera.
Bagaimana mengetahui skoliosis kurva S dan C? Ini diperlukan pemeriksaan radiologi untuk melihat rontgen tulang belakang dan melihat lebih jelas tentang bentuk dan derajat kelengkungan.
- Titik lokasi kurva S: Serviks, Toraks, dan Lumbal.
- Titik lokasi kurva C: Umumnya di thoracolumbal, tidak terkompensasi karena posisi asimetri.
Sering Nyeri Punggung
Nyeri punggung adalah tanda terkena skoliosis umum yang sering muncul pada penderita skoliosis. Ketika tulang belakang melengkung, hal ini dapat menyebabkan ketegangan pada otot-otot di sekitarnya, yang dapat menyebabkan nyeri dan ketidaknyamanan pada punggung.
Nyeri punggung biasanya semakin parah apabila penderita melakukan aktivitas yang berat seharian, terutama mengangkat beban atau terlalu banyak duduk dan berdiri.
Baca juga: Sehat Nggak Perlu Mahal, Inilah Olahraga yang Cocok Dilakukan di Rumah Aja
Larangan Penderita Skoliosis
Untuk penderita skoliosis, terdapat beberapa larangan atau hal-hal yang sebaiknya dihindari untuk menjaga kesehatan tulang belakang dan mencegah komplikasi lebih lanjut.
Jika tanda terkena skoliosis di atas ada padamu. Berikut adalah beberapa larangannya:
- Mengangkat Beban Berat secara Mendadak: Mengangkat atau membawa beban berat secara tiba-tiba atau dengan teknik yang salah dapat meningkatkan tekanan pada tulang belakang dan dapat memperburuk kelengkungan yang ada.
- Posisi Duduk yang Tidak Benar: Duduk dengan posisi yang tidak benar atau dalam waktu yang lama dapat memperburuk postur tubuh dan meningkatkan ketegangan pada tulang belakang.
- Berdiri atau Duduk dalam Waktu Lama: Posisi yang terlalu lama dapat menyebabkan tekanan berlebih pada tulang belakang dan menyebabkan nyeri. Sebaiknya, ubah posisi secara berkala dan pastikan kursi atau tempat duduk mendukung postur yang baik.
- Olahraga yang Tidak Sesuai: Jenis olahraga dengan gerakan atau benturan yang tinggi, berat, berpangku pada satu sisi, sebaiknya dihindari, seperti golf, tenis, angkat beban, sepak bola.
- Gerakan atau Aktivitas yang Berlebihan: Hindari gerakan atau aktivitas yang memaksa atau memberikan tekanan berlebih pada tulang belakang yang dapat memperburuk kelengkungan atau menyebabkan ketidaknyamanan.
Anjuran Penderita Skoliosis
Untuk penderita skoliosis, ada beberapa anjuran yang dapat diikuti untuk membantu mengurangi ketidaknyamanan dan mengelola kondisi ini dengan lebih baik:
- Pilih Kasur yang Tepat: Gunakan kasur yang memiliki tingkat kekerasan sedang-keras untuk mendukung postur tulang belakang yang optimal. Hindari kasur yang terlalu empuk yang dapat memperburuk bengkokan tulang belakang.
- Lakukan Latihan Teratur: Fokuskan latihan pada memperkuat otot inti dan merenggangkan otot-otot yang tegang. Latihan seperti peregangan, yoga, dan latihan inti tubuh dapat membantu mengurangi ketegangan dan meningkatkan fleksibilitas.
- Perhatikan Posisi Tubuh: Hindari terlalu lama dalam satu posisi. Sering-seringlah berubah posisi untuk mencegah tegangnya otot dan meningkatkan kenyamanan.
Baca juga: 8 Gerakan Yoga Sebelum Tidur Agar Rileks, Cuma 10 Menit!
Kapan Harus ke Dokter?
Segeralah ke dokter apabila tanda terkena skoliosis di atas ada padamu, terutama jika sudah mengganggu aktivitas, seperti nyeri punggung.
Saat pemeriksaan, dokter akan bertanya seputar riwayat medis, gejala-gejala yang dirasakan serta pemeriksaan fisik.
Dokter biasanya akan meminta kamu untuk melakukan X-ray atau radiologi untuk memeriksa derajat kelengkungan yang disebut sebagai sudut Cobb.
Penting diketahui bahwa dalam mendiagnosis skoliosis, pengukuran sudut Cobb digunakan untuk menilai keparahan kelengkungan tulang belakang.
Berikut penjelasannya:
- Skoliosis Ringan: Sudut Cobb antara 10 hingga 25 derajat.
- Skoliosis Sedang: Sudut Cobb antara 25 hingga 40 derajat.
- Skoliosis Parah: Sudut Cobb lebih dari 40 derajat.
- Skoliosis Sangat Parah: Sudut Cobb lebih dari 80 derajat.
Komplikasi Skoliosis
Adapun komplikasi yang kemungkinan akan dialami penderita skoliosis apabila tidak melakukan perawatan, yaitu:
- Sakit Punggung Berkelanjutan: Kelengkungan tulang belakang yang tidak terkendali dapat menyebabkan nyeri punggung kronis yang mengganggu aktivitas sehari-hari.
- Masalah Pernapasan: Pada kasus yang parah, kelengkungan tulang belakang dapat mempengaruhi posisi tulang rusuk dan menekan paru-paru, menyulitkan proses pernapasan.
- Harga Diri Rendah: Skoliosis dapat membuat tulang belakang yang bengkok menjadi lebih terlihat secara fisik. Hal ini dapat mempengaruhi harga diri seseorang karena perasaan tidak nyaman atau perhatian yang berlebihan dari orang lain terhadap penampilan fisik.
Baca juga: 7 Rahasia Bahasa Tubuh agar Disukai Lawan Bicara dan Percaya Diri
Apakah Skoliosis Bisa Sembuh?
Menurut Square One Health, sayangnya, skoliosis tidak dapat disembuhkan 100%, namun derajat kelengkungannya bisa dikurangi/diperbaiki melalui perawatan medis.
Pengobatan untuk skoliosis bertujuan untuk memperbaiki kesejajaran tulang belakang dan mengurangi risiko perkembangan lebih lanjut.
Penting juga untuk dicatat bahwa tidak semua program perawatan skoliosis sama.
Misalnya, untuk remaja, tujuan utamanya adalah untuk mencegah kelengkungan semakin bertambah parah dan mengurangi sudutnya hingga di bawah 30 derajat. Ini dapat membantu mengurangi risiko masalah tulang belakang yang lebih serius di masa dewasa.
Sementara itu, bagi orang dewasa, fokusnya mencegah atau memperlambat perkembangan skoliosis serta mengurangi nyeri yang mungkin dirasakan.
Jadi, meskipun skoliosis tidak dapat disembuhkan sepenuhnya, pengobatan dapat sangat membantu untuk memperbaiki kesejajaran tulang belakang, mencegah perkembangan lebih lanjut, dan mengurangi rasa sakit atau ketidaknyamanan yang terkait.
Bagaimana Pengobatan dan Perawatan Skoliosis?
Ada dua pilihan pengobatan untuk penderita skoliosis, yaitu perawatan konservatif dan operasi. Namun, pengobatan utama yang sering direkomendasikan adalah perawatan konservatif.
Perawatan konservatif meliputi pemantauan rutin oleh profesional kesehatan untuk mengawasi perkembangan kurva tulang belakang.
Selain itu, penggunaan obat pereda nyeri dan antiinflamasi dapat membantu mengelola rasa sakit.
Olahraga, seperti latihan untuk memperkuat otot inti dan meningkatkan fleksibilitas, juga menjadi bagian penting dari perawatan ini.
Tidak hanya itu, terapi fisik dapat memberikan manfaat signifikan dengan memperbaiki postur tubuh dan meredakan nyeri.
Penggunaan penyangga punggung pun dapat diterapkan untuk menopang dan memperbaiki posisi tulang belakang.
Di sisi lain, untuk kasus yang lebih parah atau yang tidak merespons terhadap perawatan konservatif, operasi menjadi pilihan.
Melalui teknologi modern, seperti fusi tulang belakang dan penggunaan batang yang dapat diperluas, dokter bedah dapat menstabilkan tulang belakang, mengembalikan keseimbangan tubuh, serta mengurangi tekanan pada saraf.
Catatan:
Meskipun operasi skoliosis umumnya aman, ada beberapa risiko komplikasi yang perlu diperhatikan, seperti infeksi, pendarahan, gumpalan darah, kerusakan saraf, dan pergerakan terbatas. Namun, dengan pemilihan dokter yang berpengalaman dan perawatan pasca-operasi yang tepat, risiko ini dapat diminimalkan.
Jika kamu bertanya apakah penyakit skoliosis itu berbahaya? Jawabannya, tergantung kondisinya. Jika ringan, tidak berbahaya, namun jika berat, ini membutuhkan intervensi medis.
Bagi kamu yang mengalami tanda terkena skoliosis di atas, yuk sebaiknya segera periksa sebelum semakin parah!
Dapatkan informasi tentang masalah kesehatan lainnya dengan bergabung ke komunitas Girls Beyond Circle!
Baca juga: 10 Tempat Pilates Terdekat di Jakarta yang Nyaman dan Fasilitas Lengkap
Sumber foto: National Institutes of Health
Comments
(0 comments)